Salud y Belleza D​​ental

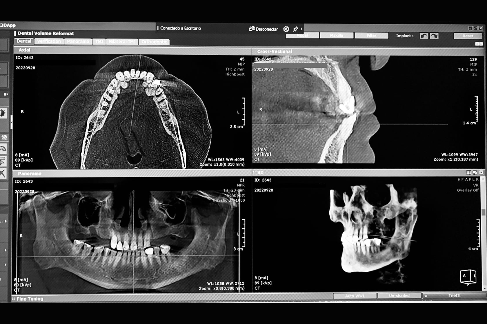
Radiología y Tomografías Digitales

Contamos con todos los conocimientos de las herramientas esenciales para el análisis e interpretación de las condiciones dentales de cada paciente.

Antes de cualquier trabajo, realizamos una completa evaluación de todas las estructuras óseas y dentales, para determinar el mejor plan de tratamiento. Con tecnología digital de última generación, nuestro equipo de profesionales está altamente capacitado para brindar una evaluación precisa y eficiente que permita garantizar resultados.

Contáctanos
Comparte nuestra información:
error: ¿Necesitas algo? Contáctanos | www.guiaconsultiva.com