

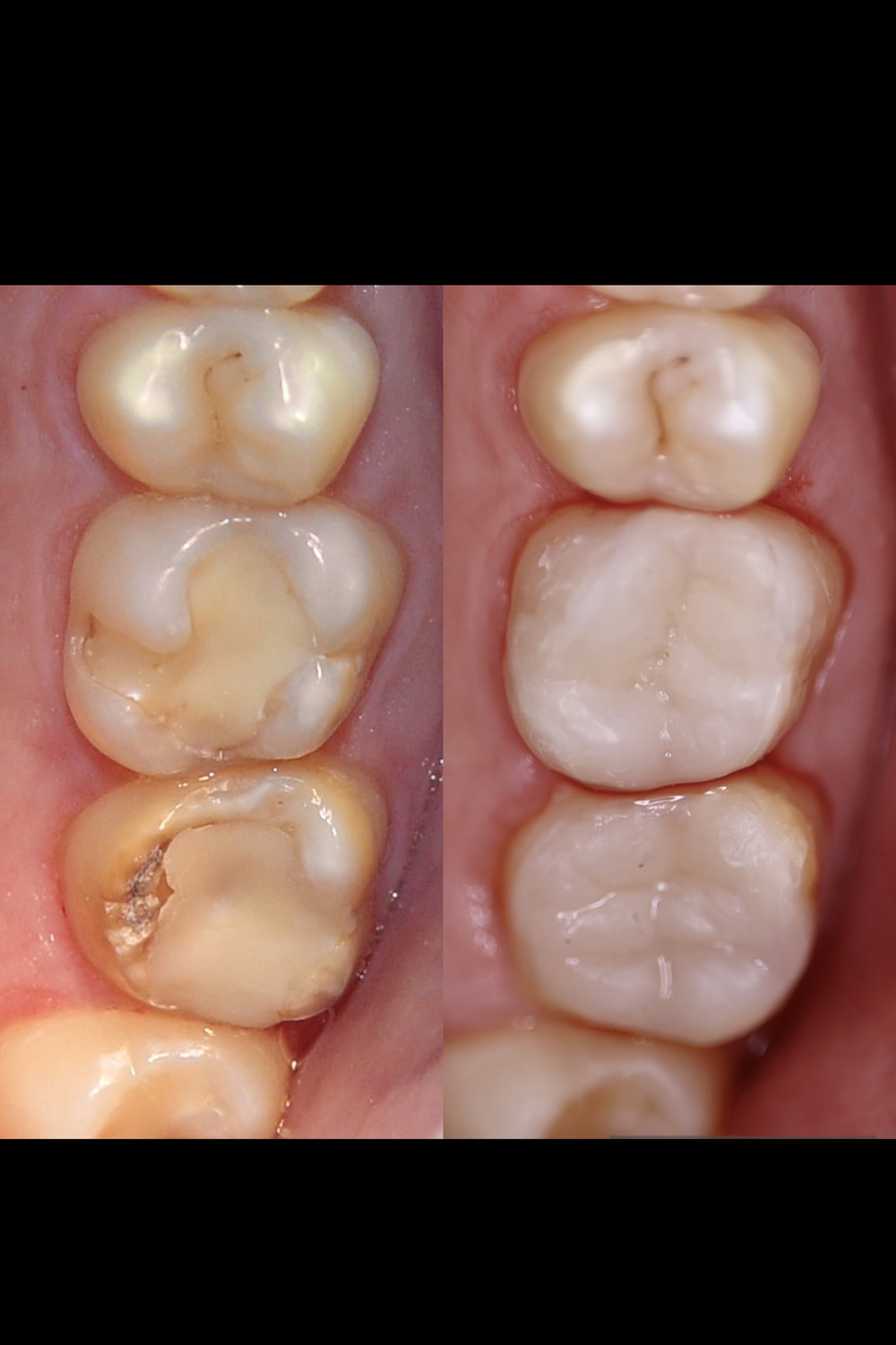
En la odontología moderna, la adhesión como fenómeno físico de unión y retención entre dos superficies biocompatibles, nos permite realizar tratamientos desde los llamados de mínima invasión hasta rehabilitar una pieza parcialmente destruida.
Los avances medicos y sus investigaciones han producido grandes cambios en los diferentes materiales y en las técnicas de restauración en odontología.
En la actualidad el aumento de la demanda estética y la necesidad de preservar el tejido dentario sano con procedimientos mínimamente invasivos ha llevado a un aumento de las técnicas adhesivas. La prótesis fija adhesiva es un método de tratamiento que consta en la confección de una protesis con una anatomía en particular, que cumplen la misma función que una protesis convencional, pero que tiene como objetivo principal la retención por medio de sistemas adhesivos. En la actualidad las protesis adhesivas de mayor demanda y aplicadas son:
Inlays, Onlays, Overlays, Carillas, Coronas y Puentes.